Beyaz Diş Teli Dişleri Düzeltir mi?
Beyaz diş telleri, dişlerin estetik görünümünü artırarak hizalanmasını sağlamak amacıyla kullanılan ortodontik bir tedavi yöntemidir. Seramik veya şeffaf malzemeden yapılan bu teller, hem konforlu bir kullanım sunar hem de estetik kaygıları azaltır. Ancak, maliyet ve bakım gereksinimleri gibi dezavantajları da bulunmaktadır. Bu yöntem, dişlerinde düzensizlik olan bireyler için uygun bir seçenek olabilir.
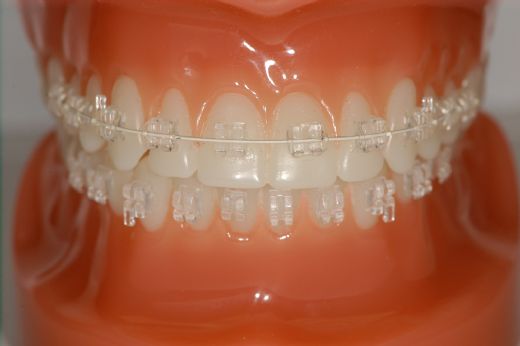
Beyaz Diş Teli Dişleri Düzeltir mi?Diş sağlığı ve estetiği, bireylerin genel görünümünü ve kendine olan güvenini doğrudan etkileyen önemli unsurlardır. Dişlerdeki düzensizlikler, sadece estetik kaygılar yaratmakla kalmayıp, aynı zamanda ağız sağlığına da olumsuz etkilerde bulunabilir. Bu nedenle, dişlerin düzeltilmesi amacıyla çeşitli ortodontik tedavi yöntemleri geliştirilmiştir. Beyaz diş telleri, bu yöntemlerden biri olarak son yıllarda popülarite kazanmıştır. Peki, beyaz diş telleri gerçekten dişleri düzeltir mi? Bu makalede, beyaz diş tellerinin işlevselliği, avantajları ve dezavantajları üzerinde durulacaktır. Beyaz Diş Teli Nedir?Beyaz diş telleri, ortodontik tedavi sürecinde dişlerin hizalanmasını sağlamak amacıyla kullanılan özel bir aparattır. Genellikle seramik veya şeffaf malzemeden üretilmektedir. Bu tür teller, klasik metal diş tellerine göre daha estetik bir görünüm sunar ve bu nedenle özellikle gençler ve yetişkinler arasında tercih edilmektedir. Beyaz Diş Tellerinin Avantajları
Beyaz Diş Tellerinin Dezavantajları
Kimler İçin Uygundur?Beyaz diş telleri, dişlerinde düzensizlik olan ve estetik kaygıları bulunan herkes için uygun bir tedavi seçeneğidir. Ancak, tedaviye başlamadan önce bir ortodontist ile görüşmek ve bireysel ihtiyaçların değerlendirilmesi önemlidir. Bazı durumlarda, metal diş telleri daha etkili bir çözüm sunabilir. Tedavi Süreci Nasıl İşler?Beyaz diş telleri ile ortodontik tedavi süreci genellikle birkaç aşamadan oluşur:
SonuçBeyaz diş telleri, estetik açıdan daha hoş bir görünüm sunarak, dişlerin düzeltilmesi için etkili bir yöntemdir. Ancak, her bireyin diş yapısı ve ihtiyaçları farklı olduğundan, en uygun tedavi seçeneğini belirlemek için mutlaka bir uzmanla görüşülmesi gerektiği unutulmamalıdır. Beyaz diş tellerinin avantajları ve dezavantajları dikkatlice değerlendirildiğinde, bu tedavi yöntemi pek çok kişi için ideal bir çözüm olabilir. Ekstra Bilgiler: Diş sağlığı, genel sağlık ile doğrudan ilişkilidir. Dişlerdeki düzensizlikler, çiğneme sorunlarına ve diş eti hastalıklarına yol açabilir. Bu nedenle, ortodontik tedavi sürecini ihmal etmemek ve gereken önlemleri almak oldukça önemlidir. Diş sağlığınıza dikkat etmek, sadece estetik bir kaygı değil, aynı zamanda genel sağlığınızı korumak adına da büyük bir adımdır. |






































Beyaz diş telinin estetik olarak daha hoş görünmesi ve konfor sağlaması sayesinde tedavi sürecindeki gelişimi dikkat çekici. Ancak lingual ortodontinin getirdiği zorluklar gerçekten düşündürücü. Dile zarar vermesi ve tedavi süresini uzatması, hastaların hayat kalitesini olumsuz etkileyebilir. Şeffaf plakların çıkarılabilir olması, yemek yerken ve ağız hijyeninde sağladığı kolaylıklar gerçekten büyük bir avantaj. Peki, bu beyaz diş tellerinin tedavi sürecinde ne gibi değişiklikler gözlemlediniz? Şeffaf plakların kullanımı ile birlikte tedavi sürecinin daha kolay geçtiğini düşünüyor musunuz?
Sevid,
Beyaz Diş Teli ve Estetik konusundaki düşüncelerin oldukça yerinde. Gerçekten de beyaz diş tellerinin estetik avantajları hastalar için önemli bir motivasyon kaynağı oluşturuyor.
Lingual Ortodontinin Zorlukları ise kaçınılmaz bir gerçek. Dile zarar verme riski ve tedavi süresinin uzaması, hastaların günlük yaşamını etkileyebilir. Bu noktada hastaların konforunu artırmak adına dikkatli bir değerlendirme yapmak önemli.
Şeffaf Plakların Avantajları ise oldukça dikkate değer. Çıkarılabilir olmaları, yemek yerken ve ağız hijyeninde sağladıkları kolaylıklar, pek çok hasta için büyük bir avantaj sunuyor.
Tedavi sürecindeki değişiklikler konusunda, beyaz diş telleriyle birlikte hastaların daha az rahatsızlık yaşadığını ve estetik kaygılarının azaldığını gözlemlemek mümkün. Şeffaf plakların kullanımı ise, birçok hasta için tedavi sürecini daha hafif ve rahat hale getirebiliyor. Sonuç olarak, bu tedavi yöntemlerinin her biri farklı avantajlar ve dezavantajlar sunuyor.
Bu konudaki deneyimlerinizi daha fazla duymak isterim!